Más Información

Tráiler impacta al Tren Interoceánico en Chiapas al intentar ganarle el paso; no reportan pasajeros heridos

Guardia Costera de EU incauta otro buque frente a costa de Venezuela; ejército apoya con helicópteros

Cae "La Piruja", objetivo prioritario en Baja California; es integrante de alto rango del crimen organizado en Sinaloa

FOTOS: Ellos son "Killer" y "Zory", dos de los perros policías que cuidan los conciertos de Bad Bunny en CDMX

¡No te lo puedes perder! Este sábado es el último Paseo Nocturno del año “Muévete en Bici”; tendrá temática decembrina
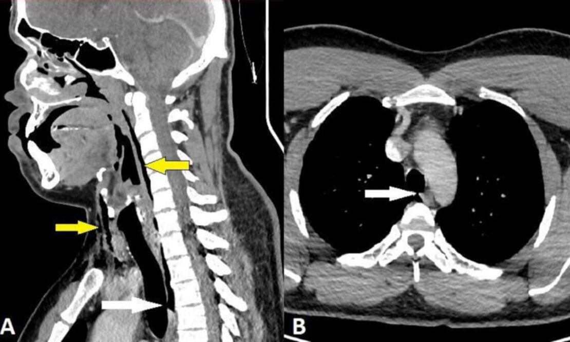
Como una afección "rara y potencialmente mortal" fue calificada la perforación de la tráquea que sufrió un hombre por un estornudo. Es el primer caso en el mundo que fue atendido por especialistas.
Las perforaciones de la tráquea se reportan, "comúnmente", después de procedimientos médicos, como la tiroidectomía, intubación, traqueotomía; o son producto de lesiones esofágicas o traumatismos contundentes. No había registro de una perforación después de estornudar.
El equipo de médicos, conformado por Rasads Misirovs, Gary Hoey, Calum Carruthers y Samit Majumdar, describió el inusual hecho en un artículo científico de la revista MJ Case Reports, publicado en diciembre de este 2023.
Lee también: Reportan muerte de 5 bebés y 7 pacientes por falta de electricidad en hospital de Gaza
El paciente fue un hombre, de 30 años, quien contuvo sus estornudos cuando manejaba: se pellizcó la nariz y cerró la boca. Debido a su 'estrategia' para no estornudar, le surgió un dolor en el cuello, por el cual debió ir a urgencias de un hospital.
"En el examen, su cuello estaba hinchado bilateralmente, con crepitación leve a la palpación y una amplitud de movimiento reducida del cuello", señalaron en el estudio científico.
Le practicaron una radiografía que arrojó un enfisema quirúrgico, es decir, había aire en la capa más profunda de la piel, el tejido subcutáneo. Una tomografía computarizada de cuello y tórax añadió mayor sorpresa para los médicos, pues encontraron un desgarro traqueal a nivel de su tercera y cuarta vértebra torácica.
Como tenía antecedentes de rinitis alérgica, lo trataron con varios medicamentos. No hubo necesidad de cirugía, "ya que el paciente se encontraba sistémicamente bien con frecuencia cardíaca y respiratoria normal, presión arterial, saturación de oxígeno y temperatura corporal normales".
Durante las 48 horas que estuvo bajo observación, no presentó ninguna complicación. Así que tampoco requirió ser trasladado a la Unidad de Cuidados Intensivos (UCI).
Fue dado de alta con varias recomendaciones de los especialistas. Primero, evitar el ejercicio físico por las dos siguientes semanas y, segundo, por ningún motivo, intentar contener los estornudos.
De acuerdo con lo explicado por Misirovs y su equipo, a la quinta semana lo sometieron a una nueva tomografía computarizada que les permitió concluir que se había recuperado.
La advertencia de los médicos
"La tráquea se perforó debido a una rápida acumulación de presión en la tráquea al estornudar con la nariz tapada y la boca cerrada", expresaron los médicos.
Por tanto, lanzaron una advertencia para las demás personas: "No repriman los estornudos pellizcando la nariz mientras mantienen la boca cerrada, ya que puede provocar una perforación traqueal".
Estornudar es una acción defensiva del cuerpo cuando nota partículas extrañas en las fosas nasales. Lo ideal es que cubra su nariz, por ejemplo, con un pañuelo para no propagar en el ambiente dichas partículas.
* El Grupo de Diarios América (GDA), al cual pertenece EL UNIVERSAL, es una red de medios líderes fundada en 1991, que promueve los valores democráticos, la prensa independiente y la libertad de expresión en América Latina a través del periodismo de calidad para nuestras audiencias.
vare
Más Información
Noticias según tus intereses
ViveUSA
[Publicidad]


















