
Más Información
Poncho de Nigris dio a conocer que la operación de Toñito, su hijo más pequeño, fue todo un éxito y ya encuentra recuperándose, luego de que se rompiera un brazo, mientras jugaba con sus hermanos y su papá el día de ayer.
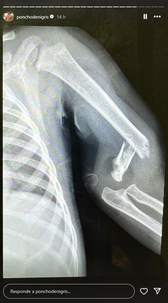
Este miércoles, el hijo de Poncho sufrió una caída que produjo que se rompiera uno de sus brazos, así lo dio a conocer el conductor en su cuenta de Instagram.
El famoso dijo que daba a conocer la noticia, debido a que se percató que fue grabado por algunas personas cuando llegó con Toñito al hospital, mientras lo cargaba en brazos y el menor no podía dejar de llorar.
Lee también: Piden a Poncho de Nigris que le baje en tv
"Les quiero contar antes de que se enteren por otra parte, tuvimos un accidente leve, se quebró un bracito Toño, por andar jugando en la calle, yo le sentí el bracito como safado, cayó mal, se le hizo para atrás el brazo".

Si bien, de Nigris destacó que los accidentes ocurren, dijo que pudo ser durante un descuido de él, que el pequeño se cayó.
"Fue error mío, se me hace, no es nada grave pero sí lo van a tener que operar y ponerle clavos, no es nada grave pero se siente feo, se siente horrible que se quiebre un brazo de uno de tus hijos, el hecho de verlo llorar de dolor y, más si es tu culpa, bueno... no es culpa de nadie, tienes que estar al tiro, son accidentes que pasan", compartió.
También contó que durante la operación tuvieron que dormir al menor, quien pasó toda la noche en el hospital, junto a su madre Marcela Mistral.
El participante de reality shows compartió un video, mientras conducía rumbo al hospital ayer por la noche, pues él tuvo que regresar a casa para llevarle una maleta a su esposa con todo lo que necesitaba para ella y Toñito.
"Ya recogimos todo, ya tenemos la maleta de Marcela, ya está todo, nos vamos a quedar ahí, les mando un abrazo, bendiciones, gracias por la buena vibra", expresó.

Y, hace unas horas, Poncho confirmó que su hijo se encontraba bien, pues ya se encontraba en la etapa de recuperación.
Lee también: Poncho de Nigris rompe en llanto con la entrada de su hijo Ponchito a "La casa de los famosos México"

Por su parte, Mistral contó a sus seguidores que, luego de que Toñito despertara de la operación, pudo beber un poco de agua y leche.
"Entró a quirófano, que suena a algo muy mayor, con sedación, con anestesia, en dos semanas tiene que tener inmovilidad su bracito, la verdad sí me dio mucho pánico, no me había pasado con un hijo", señaló.
Hace unos minutos, además, Marce compartió un video con el que confirmó que su hijo está de muy buen humor, pues se encontraba caminado por todos los alrededores de la habitación del hospital donde se encuentran.
melc
Noticias según tus intereses
ViveUSA
[Publicidad]
Interactivos


Carpetazo, a indagatorias contra Alito y Calderón

La simulación perfecta

Investigado por lavado del narco defrauda en Oaxaca

SFP da “carpetazo” al 92% de denuncias contra superdelegados

Jueces sin castigo: Las fallas de un sistema negligente

Aún está en obra y ya hay plagas y grietas en la nueva sede del Archivo General Agrario


















