[Publicidad]
Científicos brasileños
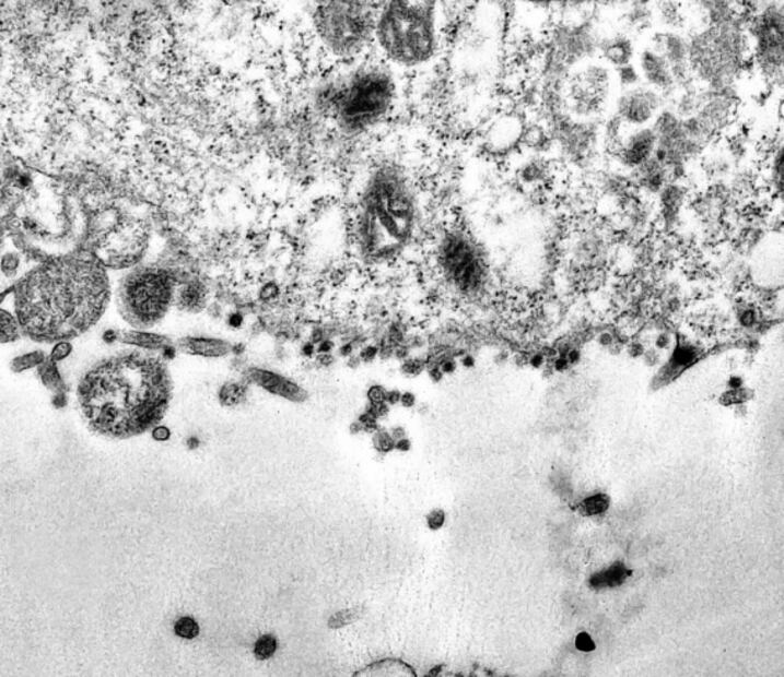
han captado imágenes del momento exacto en que el nuevo coronavirus infecta una célula, informó este miércoles la Fundación Oswaldo Cruz (Fiocruz) de Brasil , el mayor centro de investigación médica de Latinoamérica.
Las fotografías se tomaron con un microscopio electrónico de transmisión durante un estudio sobre replicación viral del SARS-CoV-2 , virus que causa el Covid-19, y muestran con detalle el proceso de contaminación de una célula, según anunció la Fiocruz en un comunicado.
Para ello, investigadores de la Fiocruz, órgano vinculado al Ministerio de Salud de Brasil, infectaron células de linaje “Vero” , que frecuentemente se usan para ensayos in vitro y cultivos celulares, con el nuevo coronavirus.
También lee:
En una de las instantáneas se observa una serie de puntos oscuros , que en realidad son partículas virales del patógeno , intentando infectar el citoplasma de la célula, en cuyo interior se encuentra el núcleo, responsable de guardar el material genético de la misma.

En una segunda imagen, el coronavirus inicia el proceso de infección y finalmente, en otra toma, ya se visualizan las partículas virales en el interior de la célula.
El registro es inédito en Brasil y forma parte de una investigación que estudia cómo se reproduce el nuevo coronavirus. Es conducido por científicos del Laboratorio de Morfología y Morfogénesis Viral y el Laboratorio de Virus Respiratorios y Sarampión.

Brasil es el país de Latinoamérica más afectado por la pandemia del nuevo coronavirus con 706 fallecidos y 14 mil 275 casos confirmados hasta este miércoles .
También lee:
Según el Ministerio de Salud, que prevé que el pico llegue entre abril y mayo, los datos arrojan una tasa de letalidad del patógeno en el país suramericano del 4.9 por ciento .
El estado de Sao Paulo, el más rico y populoso de Brasil, con unos 46 millones de habitantes, es la región más golpeada al contabilizar 371 muertes y 5.682 contagios.

nrv
[Publicidad]
Más información

Tendencias
VIDEO: Niño recibe álbum Panini del Mundial luego de dibujar el suyo; reacción se vuelve viral en TikTok

Universal Deportes
La Selección Mexicana vence a Australia en su penúltimo partido de preparación antes del Mundial 2026

Mundo
Trump no tiene prisa por acuerdo de paz con Irán; busca un "buen trato" pese a impacto económico

Universal Deportes
Guillermo Ochoa reaparece con la Selección Mexicana después de dos años






