Más Información

Diputados virtuales y opacos; Auditoría Superior advierte manejo de recursos millonarios de manera discrecional

Calendario original del ciclo escolar 2025-2026 de la SEP; estos son los cambios propuestos por altas temperaturas y el Mundial

Ajustes al calendario escolar debe respetar derechos de alumnos y docentes: SNTE; propone adelantar inicio de ciclo 2026-2027
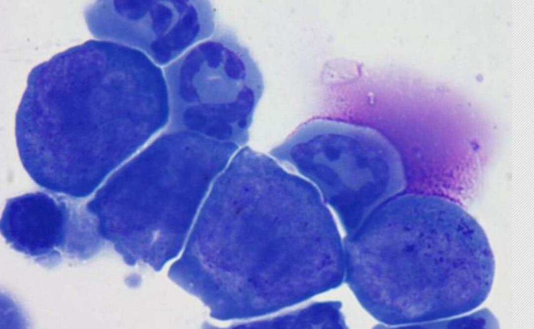
Un nuevo tejido de nanofibras biodegradable (reabsorbible por el organismo), que se puede impregnar con fármacos antitumorales, permitirá hacer tratamientos locales del cáncer, según explicó en un comunicado la Universidad Politécnica de Cataluña (UPC, noreste de España).
Investigadores del Hospital Sant Joan de Déu y de la UPC, han desarrollado el tejido, que sirve para que los cirujanos puedan recubrir, durante la intervención dirigida a extirpar el tumor, la zona operada para eliminar los restos tumorales que puedan haber quedado.
Según explicó la UPC en la nota, este sistema de administración local del tratamiento antitumoral resulta menos tóxico y más efectivo que el habitual tratamiento de consolidación después de la cirugía, la radioterapia.
El objetivo final sería poder evitar los tratamientos de radioterapia y los efectos secundarios que conlleva.
El tratamiento consiste en la colocación de la membrana en el lecho quirúrgico después de la extracción del tumor, para que actúe directamente en la zona afectada y con altas concentraciones de fármaco.
Los investigadores han probado la eficacia de este nuevo sistema de administración del tratamiento antitumoral en animales y han iniciado los trámites para obtener la autorización de la Agencia Europa del Medicamento (EMA), y así poder iniciar las fases pre-clínica y clínica de su primer fármaco orientado al tratamiento de los Sarcomas de Tejidos Blandos (STS).
El cáncer es la enfermedad que causa más muertes infantiles en toda Europa: anualmente, mueren 3 mil menores de 14 años en Europa.
Se estima que en todo el mundo se diagnostican 250 mil nuevos casos al año, 90 mil de los cuales no sobreviven.
Sin embargo, en los últimos 20 años, la Agencia de Alimentos y Medicamentos estadounidense sólo ha aprobado tres nuevos fármacos antitumorales para uso pediátrico, ya que por su baja frecuencia (en comparación con el cáncer en adultos) no suele recibir tanta atención por parte de la industria farmacéutica ni los fondos de inversión que aceleran el desarrollo de nuevos fármacos.
La UPC ha desarrollado este tejido a través de Cebiotex, una empresa de base tecnológica surgida en 2012 participada por 58 inversores privados y el Hospital Sant Joan de Déu.
El pasado 15 de abril Cebiotex lanzó una ronda de financiación puente de 344 mil dólares orientada a inversores privados que quieran adquirir participaciones en la empresa, a través de la plataforma europea de crowdfunding en biotecnología CapitalCell.
kal
Noticias según tus intereses
[Publicidad]
[Publicidad]











