Más Información

Caso Rubén Rocha ¿fracturó la relación México-EU?; expertos apuntan a defensa de la soberanía con colaboración

MC solicita desafuero de Rocha, Inzunza y alcalde de Culiacán; deben enfrentar acusaciones de EU por narcotráfico: Máynez

Santander restablece su app tras falla; el servicio opera con normalidad tras reportes en plena quincena
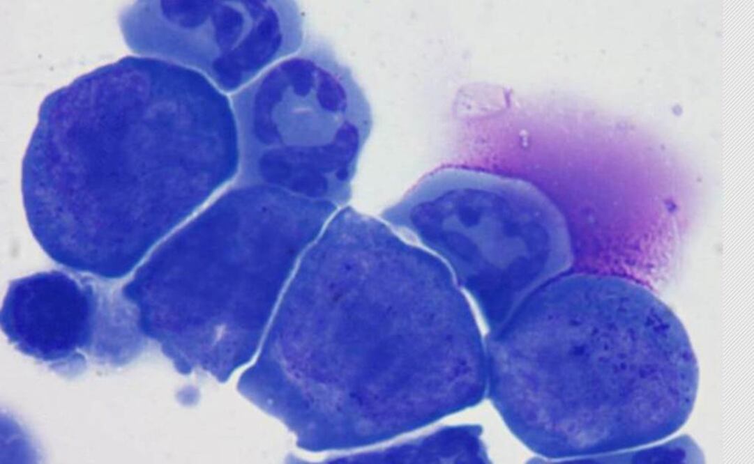
Un equipo internacional de investigadores ha descubierto el mecanismo que utiliza el organismo para eliminar a las células que no son aptas para formar tejidos.
El estudio, realizado por investigadores del Instituto Cajal (CSIC), del Centro Nacional de Investigaciones Cardiovasculares, y de la Universidad de Berna, se publica en Nature Communications.
El científico del Instituto Cajal y coautor del trabajo, Sergio Casas, explicó que los resultados del estudio serán especialmente útiles para avanzar en dos campos: la investigación del cáncer, y el estudio del desarrollo del sistema nervioso y de las enfermedades neurodegenerativas.
"Hemos descubierto el papel de una proteína en el proceso de competición celular", precisa el investigador.
La competición celular es el proceso por el cual el organismo selecciona a las células que formarán sus tejidos: "las menos óptimas son desechadas y sustituidas por células óptimas que proliferan para formar el tejido definitivo".
Son lo que se denominan células 'perdedoras' y células 'ganadoras', respectivamente.
Lo que ha descubierto este equipo de investigadores es que "cuando las células inservibles se eliminan del tejido, secretan una proteína -la Tyrosil tRNA sintetasa (TyrRS)- para atraer a los macrófagos, que son algo así como los barrenderos de un organismo".
Hasta ahora, no se sabía qué guiaba a los macrófagos ni cuál era la 'señal' de llamada que les hacía retirar las células inservibles.
El trabajo describe que esta proteína da lugar a dos fragmentos: "MiniTyr y EMAP", y el último "actúa como señal de atracción para los macrófagos, que son reclutados hasta el tejido donde ocurre la competición celular".
Este mecanismo garantiza la eliminación de las células menos óptimas del tejido durante el desarrollo del individuo, y saber cómo se produce este proceso es importante para otros terrenos como el cáncer, en el que "desgraciadamente las células perdedoras son las buenas frente a las tumorales que son las ganadoras, al menos en muchos tipos de tumor", puntualiza el investigador.
"Entender cómo tiene lugar este proceso es muy importante si queremos ser capaces de bloquear el cáncer", insiste Casas.
El otro contexto útil es el estudio del sistema nervioso, "del que distintos grupos estudiamos cómo la selección de células durante el desarrollo se traduce en un sistema nervioso que funcione mejor o peor" con el fin de estudiar "no sólo las capacidades del sistema nervioso sino casos de enfermedades en que hay defectos en el sistema nervioso para ver si la selección durante el desarrollo no ha sido la correcta", concluye.
kal
Noticias según tus intereses
[Publicidad]
[Publicidad]











