Más Información

Monreal no descarta castigo del CEN Nacional a diputadas por rechazo a reforma electoral; califica de “lamentable” voto en contra

¿Quién era Luis Miguel Victoria Ranfla?; funcionarios lamentan asesinato de exlíder sindical del ISSSTE

¿Y la pareja sentimental de "El Mencho"?; Sheinbaum habla sobre persona clave para encontrar al líder del CJNG

Suplente de Sergio Mayer espera trabajar más tiempo en San Lázaro; experiencia como migrante en EU le da visión de cómo legislar

Plan B de reforma electoral se aplicará para legisladores locales y el Senado; aprobación reduciría 4 mil mdp

Localizan con vida a Wendy Castro tras casi 4 años desaparecida; Madres Buscadoras logran reencuentro en Sonora
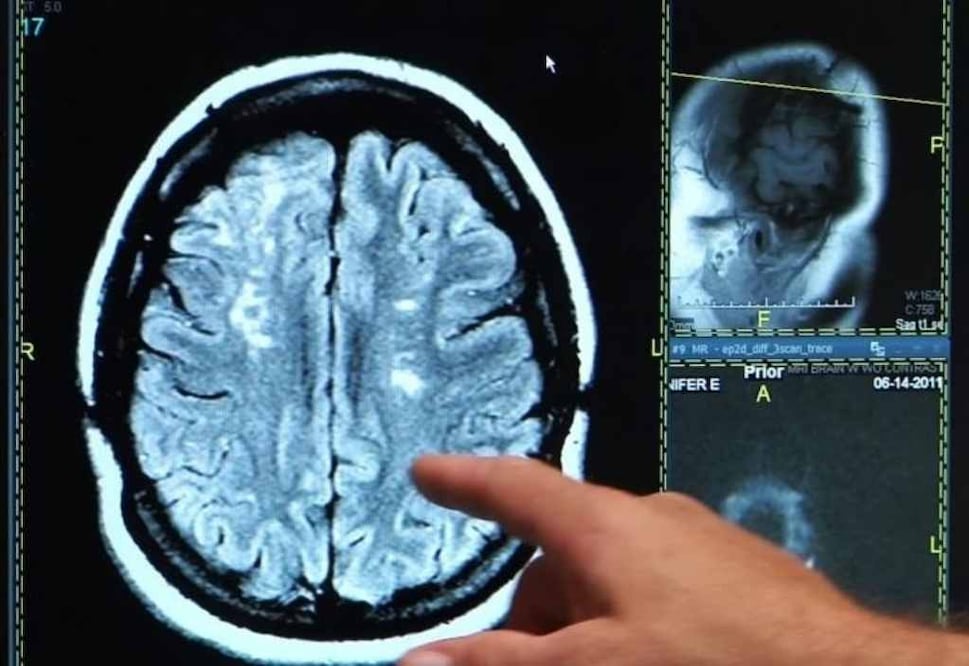
Los nacidos entre 1945 y 1954 pueden ser considerados la "generación más sana en cuanto a accidentes cerebrovasculares", según un estudio realizado por la Universidad de Rutgers, en Nueya Jersey, Estados Unidos, que encontró la incidencia más baja de ictus isquémico en este grupo de edad en los últimos 20 años.
Por el contrario, la tasa de accidente cerebrovascular es más del doble en la generación X, es decir, las personas nacidas entre 1965 y 1974, durante el mismo periodo de tiempo.
"La incidencia de accidente cerebrovascular ha disminuido considerablemente en general desde 1950, debido al avance de la medicina", afirma Joel N. Swerdel, autor principal del estudio realizado en el Instituto Cardiovascular de Nueva Jersey en la Escuela de Medicina de la Universidad de Rutgers ."Sin embargo, encontramos que la tendencia se invierte en las generaciones más jóvenes donde la obesidad y la diabetes están probablemente causando un aumento en las enfermedades cardiovasculares", añade.
Swerdel, que ahora es gerente de Analítica Epidemiológica en Janssen Pharmaceuticals, Titusville, N.J., dirigió la investigación bajo la dirección de John B. Kostis, profesor de Cardiología y director del Instituto Cardiovascular de Nueva Jersey. Los datos del estudio se derivaron del Sistema de Adquisición de Datos del Infarto de Miocardio (MIDAS, por sus siglas en inglés), una base de datos estatal de todos los ingresos en hospitales no federales en Nueva Jersey a lo largo de los 30 años desde que fue desarrollada.
Los investigadores analizaron más de 225.000 registros de datos de accidente cerebrovascular entre 1995 y 2014, separados en cinco grupos, cada uno con una edad de 10 años. El análisis, que se publica en 'Journal of the American Heart Association', encontró que las personas nacidas en los 20 años previos a 1945 y los nacidos en los 20 años posteriores a 1954 tenían mayores riesgos de accidente cerebrovascular. Sólo el grupo que ahora está entre 60 y 70 años de edad vio una reducción en la incidencia de accidente cerebrovascular durante el intervalo de años incluidos en el estudio.
"Una mayor incidencia de ictus en individuos nacidos antes de 1945 no fue sorprendente, ya que no se beneficiaron de la disponibilidad de fármacos hipolipemiantes, como las estatinas, y la terapia antihipertensiva, al igual que las generaciones más jóvenes", apunta Kostis, investigador principal del trabajo. "Sin embargo, la creciente incidencia del accidente cerebrovascular en la generación más joven --los que están entre las edades de 35 y 50 años-- es alarmante y merece más investigación".
Los investigadores atribuyen a varios factores la tendencia al alza, como la falta de adherencia al tratamiento prescrito, por ejemplo tomar medicamentos para controlar la presión arterial, y un incremento significativo en la obesidad y la prevalencia de la diabetes, ambos factores de riesgo de la enfermedad cardiovascular. Aunque MIDAS incluye datos de Nueva Jersey, los investigadores creen que la evidencia es indicativa de las tendencias en Estados Unidos.
Noticias según tus intereses
[Publicidad]
[Publicidad]









