Una mujer en China tuvo un ataque de tos y luego escuchó un fuerte crujido proveniente de su pecho .
Al principio, Huang no pensó que algo andaba mal, pero luego sintió dolor al hablar y respirar.
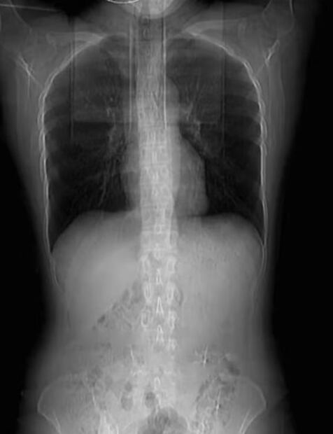
De acuerdo al medio chino South China Morning Post, una tomografía computarizada reveló que cuatro de las costillas de Huang estaban rotas ; los médicos le dijeron que necesitaría vendas alrededor de su pecho durante un mes para que sus costillas sanaran.
Lee también: ¿Qué es el "síndrome del hombro rígido", padecimiento por el que Celine Dion cancela su gira?

El portal señala, que los médicos dijeron que la causa subyacente de las fracturas menores era que su peso corporal era demasiado bajo.
La mujer, de 1.71 cm y un peso de 57 kg, dijo que es especialmente delgada en la parte superior del cuerpo y que sus costillas son visibles.

Foto: Weibo
Suscríbete aquí para recibir directo en tu correo nuestras newsletters sobre noticias del día, opinión, opciones para el fin de semana, Qatar 2022 y muchas opciones más.
om
Noticias según tus intereses
[Publicidad]
[Publicidad]











