Más Información

"El Güero Palma", fundador del Cártel de Sinaloa, tramita amparo; acusa incomunicación y tortura en el Altiplano

Van 279 mexicanos evacuados por conflicto de Medio Oriente; han salido desde Egipto, Jordania y Turquía: Sheinbaum

Paco Ignacio Taibo II desata polémica por dichos en evento de Iztapalapa; "todo el mundo tiene un primo o una prima pend...", dice

Sheinbaum: Pago de adeudos fiscales de TV Azteca y Elektra continúa pese a concurso mercantil; televisora ya pagó, señala

Jessica revive la nostalgia de la SEP en “Pancito Merge”; así se inspiró la ilustradora en el videojuego mexicano de Nintendo Switch

CDMX instala Gabinete con alcaldes rumbo al Mundial; Clara Brugada anuncia 2 mil obras y refuerzo de seguridad
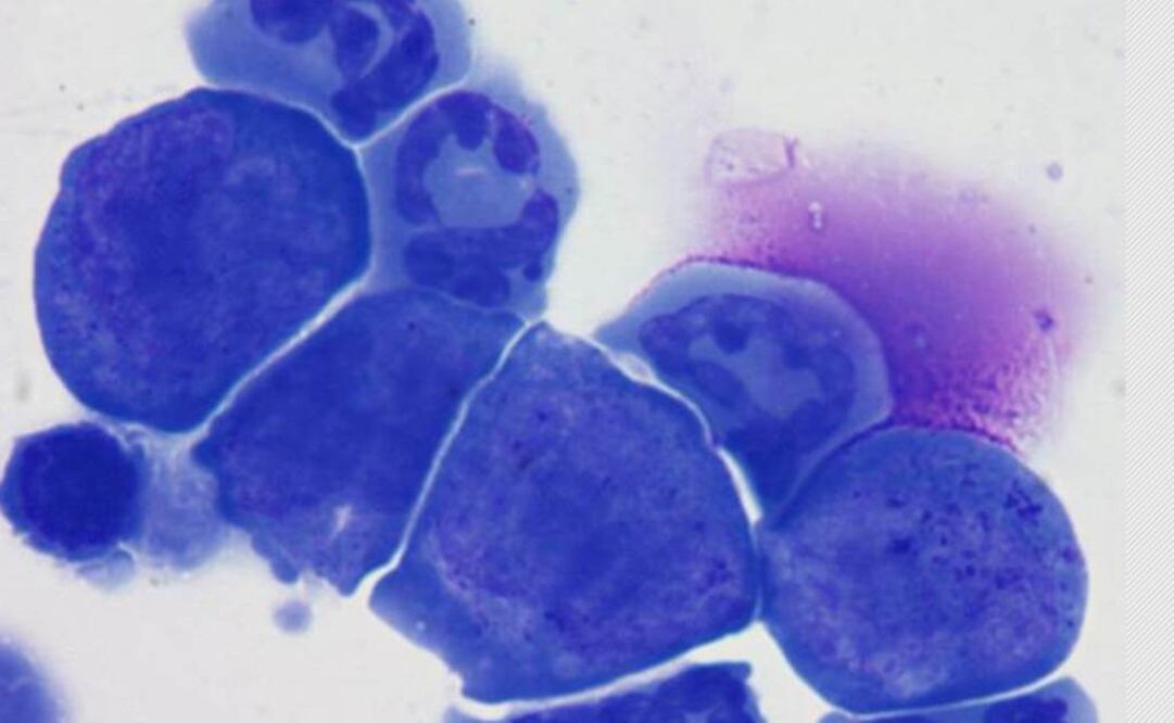
Un grupo de investigadores de la Universidad de Melbourne (Australia) descubrió que las hormonas del estrés incrementan la propagación del cáncer al afectar al sistema linfático, una red de vasos sanguíneos que transporta un líquido llamado linfa a través del cuerpo.
Según un experimento en ratones publicado este martes en la revista británica Nature, hay pruebas que confirman que el estrés está asociado a un aumento de mortalidad en los pacientes de cáncer y a niveles avanzados de esta enfermedad en animales.
En trabajos anteriores se había constatado que las hormonas del estrés pueden afectar a la formación de los vasos sanguíneos, importantes en la extensión de enfermedades.
El sistema linfático también puede fomentar la difusión del cáncer, pero hasta ahora no estaba claro si esto se debía al estrés.
La investigadora Erica Sloan y sus compañeros de la Universidad de Melbourne revelaron que las hormonas del estrés afectan al sistema linfático, y que esto puede dar lugar a la extensión de células cancerígenas en ratones.
Estudiaron a cinco roedores a través de una serie de experimentos, a partir de los cuales demostraron que el estrés incrementa tanto el número como el diámetro de los vasos linfáticos asociados a los tumores.
Mediante un microscopio especial, los autores comprobaron que las hormonas del estrés incrementan el flujo de nanopartículas fluorescentes (que localizan células tumorales) a través del sistema linfático.
Al bloquear la actividad de proteínas que detectan el estrés o aquellas que facilitan la formación de vasos linfáticos, los científicos pudieron reducir la difusión de células cancerígenas en los ratones.
Este nuevo descubrimiento, según los científicos, puede ser útil para ayudar a frenar la extensión de las células que pueden desarrollar una enfermedad oncológica.
kal
Noticias según tus intereses
[Publicidad]
[Publicidad]








