Más Información

Morena CDMX afirma que "existe una unidad bárbara"; alista plan para fortalecer presencia territorial

Advierten crisis democrática si INE pierde autonomía; sin consenso se pondría en duda la legitimidad, exconsejera Dania Ravel

Así fue el operativo contra narcolaboratorios en el que murieron los elementos de la embajada de EU; fiscal destaca magnitud del hallazgo
El médico infectólogo colombiano que atendió el "extraordinario" caso que permitió descubrir células cancerosas de un parásito intestinal que pueden causar tumores en una persona dijo que esta revelación "abre" la puerta a nuevas investigaciones y a diagnósticos "oportunos".
"Es un caso excepcional. Puede que ocurran más casos futuros, pero serán esporádicos", declaró en una entrevista el médico Carlos Andrés Agudelo, que atendió al paciente en la Clínica Universitaria Bolivariana de la ciudad colombiana de Medellín.
Los Centros de Control y Prevención de Enfermedades (CDC) de Estados Unidos anunciaron la semana pasada que este insólito caso que ha conmocionado a la comunidad científica mundial se dio en Colombia en 2013.
El informe, que salió publicado el pasado jueves en New England Journal of Medicine, advierte sobre el riesgo de que otros casos similares que puedan darse sean diagnosticados como cáncer humano, especialmente en países en desarrollo donde este tipo de parásito (Hymenolepis nana) es común.
Agudelo aseguró que esta revelación "abre la puerta a nuevas investigaciones, hipótesis y preguntas", y además permitirá a los médicos del mundo que enfrenten un caso similar "hacer un diagnóstico oportuno y evaluar qué opciones de tratamiento".
Pero aclaró que el descubrimiento "no significa" que a las personas que tengan este parásito les vaya a dar un cáncer, e indicó que ahora los investigadores tendrán una "nueva visión entre el hospedero (paciente) y el parásito, y de cómo es la relación entre cáncer e infección".
El paciente atendido por Agudelo tenía 41 años, sufría el VIH y tenía su sistema inmunológico debilitado.
"El paciente tenía las defensas bajas porque había abandonado el tratamiento. Vino por un cuadro de tos, fiebre y pérdida de peso", relató el infectólogo sobre el caso.
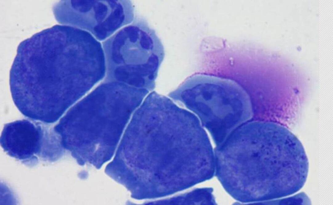
Unas radiografías de tórax que mostraba masas pulmonares con características que "sugerían" un cáncer hicieron que se "orientaran las sospechas" en esa dirección, por lo que tomaron muestra de esas células, que fueron revisadas por los patólogos colombianos Lucy Díazgranados y Alejandro Vélez.
Las imágenes de esas biopsias fueron enviadas a diferentes médicos en Colombia, España, México, Australia y Estados Unidos. Microbiólogos, patólogos e infectólogos analizaron esa muestra, pero ninguno tuvo respuesta.
Mientras se daban los primeros avances del experto de los CDC, el paciente colombiano desarrolló otras complicaciones e infecciones asociadas a la progresión del VIH; estuvo cuatro meses en la clínica, desde que fue a consulta hasta que falleció.
"El cáncer progresó. Le empezaron a salir lesiones en el cuello e hizo una complicación renal asociada a los medicamentos que estaba recibiendo. El paciente estaba cansado, con dolor y sufriendo por no saber qué le pasaba", dijo Agudelo.
El médico relató que 72 horas antes de que el paciente falleciera, el doctor Atis Muehlenbacs envió unos "resultados preliminares" en los que hablaba de un parásito, una lombriz solitaria que trasmitía células cancerosas a humanos.
La lombriz solitaria afecta a cerca de 75 millones de personas, en especial a niños, personas con sistemas inmunes débiles o quienes toman esteroides.
"El comportamiento de este parásito es muy novedoso, es la primera vez que se reporta algo así en un humano. Merece muchos más estudios a fondo, porque el componente de inmunosupresión del paciente probablemente jugó un rol importante", apuntó Alicia Hidrón, médica infectóloga que también participó en el estudio.
kal
Noticias según tus intereses
[Publicidad]
[Publicidad]











