Más Información

Le fue bien a México, dice Sheinbaum a su regreso de España; recibe en Palacio Nacional a representante comercial de EU

Alcalde de Ciudad Juárez buscará ser Coordinador de la 4T en Chihuahua”; advierte que no darán tregua a sus adversarios

Advierten crisis democrática si INE pierde autonomía; sin consenso se pondría en duda la legitimidad, exconsejera Dania Ravel
El cáncer es una de las principales causas de mortalidad en todo el mundo; en México, esta enfermedad es la tercera causa de muerte, después de la diabetes y las enfermedades del corazón.
Debido al impacto del cáncer en el país y a la dificultad de acceder a algunos tratamientos, investigadores del Instituto de Química de la UNAM estudian la efectividad antitumoral de compuestos derivados del estaño.
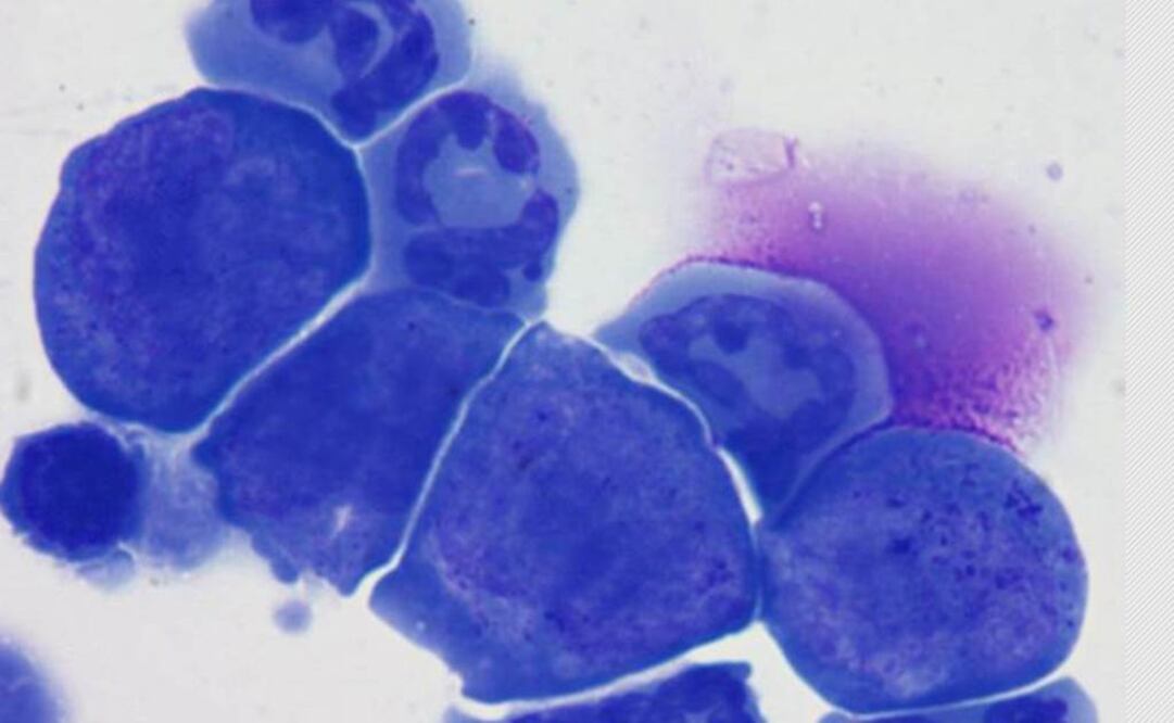
La doctora Elizabeth Gómez Pérez detalló que la evaluación de dichos compuestos, consistió en colocarlos en matraces junto a células cancerígenas de leucemia, colón, mama y pulmón.
Luego se valoró su nivel de citotoxicidad, es decir la efectividad que tienen para matar estas células y los factores que influyan en ello. Además se midió el nivel de solubilidad y la dosis necesaria para tener un efecto positivo.
Para medir el grado de toxicidad de los compuestos basados en estaño, los químicos realizaron estudios en linfocitos humanos, en conjunto con investigadores del Instituto de Investigaciones Biomédicas de la UNAM.
Metales con potencial médico
El uso de los metales en la medicina es antiguo. El arsénico, por ejemplo, se usó para el tratamiento de la sífilis, el antimonio como antiparasitario y el oro para la tuberculosis.
En la lucha contra el cáncer, desde la década de los setenta se emplea el cisplatino. Conocido de manera comercial como Platinol, este compuesto derivado del platino es uno de los tratamientos más usados para combatir el cáncer testicular, ovárico, vesical y de pulmón.
Algunos compuestos de rutenio también son usados para combatir tumores secundarios. En el caso de los compuestos basados en estaño, los resultados de las evaluaciones que realizan químicos de la UNAM han sido positivos.
La doctora Elizabeth Gómez reportó que además de atacar a las células cancerígenas, los compuestos también inhibieron el crecimiento celular.
Aclaró que aunque los compuestos de estaño todavía se encuentran en proceso de prueba, son candidatos para llegar a las fases clínicas de aplicación.
Dirección General de Divulgación de la Ciencia, UNAM
Noticias según tus intereses
[Publicidad]
[Publicidad]










