Más Información

Ariadna Montiel va por la dirigencia de Morena; deja la Secretaría del Bienestar y Leticia Ramírez la reemplaza

PVEM asegura que ya tiene todos sus perfiles para elección 2027; "esto no es chantaje ni una amenaza a nuestros aliados"

Morena va por sancionar a quienes autoricen participación de agentes extranjeros sin permiso; propone inhabilitar hasta por 20 años
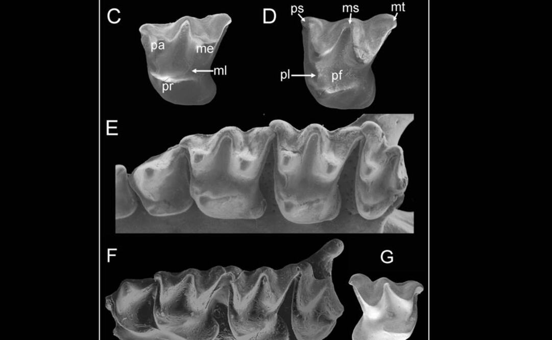
Una antigua especie prehistórica de murciélago que habitó Nueva Zelanda utilizaba sus cuatro extremidades para caminar y era tres veces más grande que sus actuales parientes, según un estudio paleontológico publicado.
Los restos fósiles del llamado murciélago excavador (Mystacina tuberculata), como se llama a este animal cuadrúpedo porque buscaba sus alimentos en el suelo, fue descubierto en los sedimentos cerca del lago prehistórico Manuherikia, en la Isla Sur.
Esta zona era parte de un bosque subtropical que existió al principio de la era del Mioceno, hace 16 a 19 millones de años, según un comunicado de la australiana Universidad de Nueva Gales del Sur (UNSW, siglas en inglés).
La nueva especie está emparentada con otra de murciélagos, la Mystacina tuberculata, que aún habita los antiguos bosques neozelandeses.
"Nuestro descubrimiento muestra por primera vez que los murciélagos Mystacina han estado presentes en Nueva Zelanda por más de 16 millones de años, residiendo en hábitats con fuentes de alimentos y flora muy similares", dijo la jefa de la investigación, Suzanne Hand, de la UNSW.
La importancia del descubrimiento es que demuestra que este quiróptero tiene un pasado prehistórico ya que hasta ahora el fósil más antiguo de un Mystacina tenía una antigüedad de 17 mil 500 años.
Los únicos mamíferos terrestres nativos de Nueva Zelanda son tres especies de murciélagos, que incluye a los dos del género de Mystacina, que fue avistado por última vez en la década de 1960.
También "ayuda a entender la capacidad de los murciélagos de establecer a sus poblaciones en las islas y las condiciones climáticas que se necesitan para que esto suceda", acotó Hand al recordar que estos animales ayudan a dispersar las semillas que mantienen a los bosques saludables.
La especie descubierta tenía una estructura ósea y una dentadura similar a sus parientes contemporáneos, lo que sugiere que su dieta incluía néctar, polen y fruta, además de insectos y arañas.
Su diferencia radicaba en el tamaño del cuerpo ya que la especie prehistórica superaba a la actual en 40 gramos, es decir tres veces más pesada.
"El inusual gran tamaño del murciélago sugiere que se dedicaba menos a la caza aérea y tomaba presas más pesadas y frutas más grandes que lo que hacen sus primos vivientes", explicó la científico al referirse al tamaño de los quirópteros actuales, que necesitan ser más pequeños, rápidos y precisos para cazar insectos en la oscuridad.
El estudio, publicado en la revista científica PLOS One, fue realizado en colaboración con Daphne Lee de la neozelandesa Universidad de Otago y Trevor Worthy de la Universidad de Flinders de Australia del Sur.
kal
Noticias según tus intereses
[Publicidad]
[Publicidad]











