Más Información
[Publicidad]
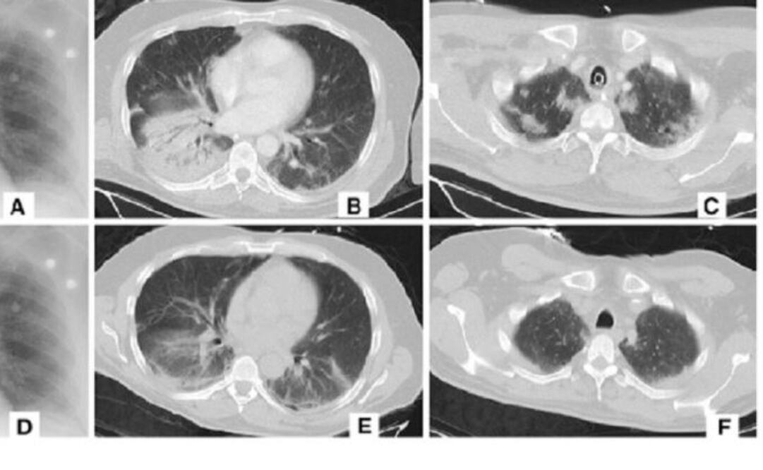
El gigante tecnológico chino Alibaba desarrolló recientemente un sistema de IA para diagnosticar el COVID-19 (coronavirus).
De acuerdo con un informe de Nikkei’s Asian Review, Alibaba afirmó que su nuevo sistema puede detectar coronavirus en tomografías computarizadas de pacientes con una precisión del 96% contra los casos de neumonía viral.

Solo toma 20 segundos para que la IA tome una determinación; según el informe, los humanos generalmente tardan unos 15 minutos en diagnosticar la enfermedad, ya que puede haber más de 300 imágenes para evaluar.
De acuerdo con The Next Web, el sistema fue entrenado en imágenes y datos de 5 mil casos confirmados de coronavirus y ya ha sido probado en hospitales de toda China. Según el informe, al menos 100 centros de salud emplean actualmente la IA de Alibaba.
Pero no es el único en la ciudad capaz de detectar el coronavirus . La organización de atención médica rival Ping An anunció recientemente un sistema de sonido muy similar. El copresidente de la compañía y director de estrategia de su división Smart City, Geoff Kau, señaló en un comunicado:

Desde su lanzamiento, el sistema inteligente de lectura de imágenes ha brindado servicios a más de mil 500 instituciones médicas. Más de 5 mil pacientes han recibido servicios inteligentes de lectura de imágenes de forma gratuita. El sistema puede generar resultados de análisis inteligentes en unos 15 segundos, con una tasa de precisión superior al 90%.
Noticias según tus intereses
[Publicidad]











