Más Información

Esta es la propuesta para llegar a la jornada laboral de 40 horas en 2030; comisión en el Senado alista dictamen

Marcial Maciel, a 18 años de su muerte en total impunidad; la "violencia espiritual" ejercida por el abuso sexual infantil

¿Quiénes son los 11 detenidos en el Edomex?; operaban con alto nivel de violencia en Tultitlán y Coacalco

"Los puentes siempre son mejor que los muros", dice Sheinbaum desde la frontera en Tijuana; destaca diálogo con EU

México asume la presidencia pro Tempore de la Alianza del Pacífico; impulsará integración regional y económica
Investigadores del Universidad Estatal de Arizona-Banner Health
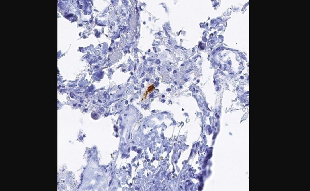
, la Universidad de California y del Instituto de Investigación de Genómica Traslacional de Phoenix han identificado una nueva vía de muerte cerebral en la enfermedad de Alzheimer .
En concreto, los científicos han encontrado la primera evidencia de que la activación de una vía biológica llamada necroptosis , que causa pérdida neuronal, está estrechamente vinculada con la severidad del Alzheimer, el deterioro cognitivo y la pérdida extrema de tejido y peso cerebral.
"Anticipamos que nuestros hallazgos estimularán una nueva área de la investigación de la enfermedad de Alzheimer enfocada en detallar el papel de la necroptosis y desarrollar nuevas estrategias terapéuticas dirigidas a bloquearla", han comentado los expertos, cuyo trabajo ha sido publicado en Nature Neuroscience .
La necroptosis, que hace que las células exploten desde adentro hacia afuera y mueran, es desencadenada por una tríada de proteínas. De hecho, se ha demostrado que desempeña un papel central en la esclerosis múltiple y la enfermedad de Lou Gehrig (esclerosis lateral amiotrófica, o ALS) y, ahora por primera vez, también en la enfermedad de Alzheimer.
La necroptosis se logró identificar como resultado de la inflamación, una enfermedad común en el Alzheimer. Y es que, tres proteínas críticas están implicadas en la iniciación de la necroptosis, conocida como RIPK1, RIPK3 y MLKL .
En este sentido, el estudio ha descrito un evento clave en el proceso de necroptosis que es cuando RIPK1 y RIPK3 forman una estructura filamentosa conocida como necrosoma , la cual parece que da comienzo al proceso de necroptosis.
Para explorar la necroptosis, el equipo de investigación utilizó múltiples cohortes de muestras humanas obtenidas del Programa de Donación de Cerebro y Cuerpo en el Banner Sun Health Research Institute y en el Monte Sinai VA Medical Center Brain Bank.
En primer lugar, midieron RIPK1, RIPK3 y MLKL en una región específica del cerebro que es típicamente devastada por la pérdida de células durante el avance de la enfermedad de Alzheimer. Los resultados mostraron que durante la necroptosis, estos marcadores se incrementaron en los cerebros de las personas con enfermedad de Alzheimer.
A continuación, identificaron la cascada molecular de la activación de necroptosis, con RIPK1 activando a RIPK3. Este complejo proteico se une y activa MLKL. Concretamente, el análisis de ARN y proteína reveló niveles elevados tanto de RIPK1 como de MLKL en los tejidos cerebrales 'post mortem' de pacientes con Alzheimer, en comparación con los cerebros 'post mortem' normales.
Además, también demostraron que la activación de la necroptosis se correlaciona con la proteína tau, si bien la necroptosis no parecía estar relacionada con otras características fisiológicas de la patología de Alzheimer, la placa beta-amiloide.
Dada la relación establecida entre la necroptosis y la patología de Alzheimer, incluyendo la pérdida celular y el déficit cognitivo asociado, los expertos analizaron la posibilidad de inhibir el proceso para conocer los efectos dinámicos sobre la muerte celular y la pérdida de memoria.
De esta forma, demostraron, en ratones, que la reducción de la activación de la vía de necroptosis reduce la pérdida celular y mejora el rendimiento en las tareas relacionadas con la memoria, ofreciendo nuevas esperanzas para la terapéutica humana para detener o revertir los efectos del Alzheimer.
Por todo ello, los expertos han comentado que su estudio abre una nueva ventana sobre la investigación de Alzheimer y ofrece esperanza para las terapias dirigidas a la pérdida de células en el cerebro, un resultado "inevitable y devastador" de la progresión de Alzheimer.
nrv
Noticias según tus intereses
[Publicidad]
[Publicidad]











