
Aunque los millennials son los que presentan un mayor uso del comercio electrónico, la diferencia con otras generaciones no es significativa

Aunque los millennials son los que presentan un mayor uso del comercio electrónico, la diferencia con otras generaciones no es significativa

Banxico: empresas deben ser flexibles para retener a esta generación

Hoy son CEO, directores ejecutivos o gerentes generales dentro de las empresas y es mejor conocerlos para poderse llevar bien con ellos en el trabajo

El nuevo director del Instituto Veracruzano de la Cultura, Enrique Márquez, afirmó que una de sus metas es que la ciudadanía se acostumbre a ir de nuevo a galerías, museos, entre otros

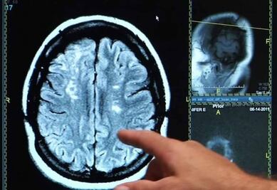
La incidencia de accidente cerebrovascular ha disminuido considerablemente en general desde 1950


Día a día convives con varias generaciones en tu lugar de trabajo. Cada uno tiene distintas motivaciones y existen las claves para llevarte bien con todos