Más Información

"Pensé que estaba temblando"; vecinos relatan el momento del colapso de edificio en San Antonio Abad

Empresario tabasqueño del fiestón de XV años acumuló deuda fiscal de 3 mdp; una de sus empresas omitió declarar venta de 7 millones de litros de combustible

"11 veces no"; las ocasiones en las que Sheinbaum ha rechazado la propuesta de Trump de intervención militar contra el narco
Ecatepec, Méx.- Un hombre disparó contra un perro en la colonia San Martín de Porres y le provocó dos heridas de gravedad, por lo que tuvo que ser atendido de emergencia por policías locales, personal del Centro de Atención Canina y Felina de Ecatepec (CACyFE) y de la Dirección de Medio Ambiente y Ecología, quienes le salvaron la vida.
Una mujer solicitó el apoyo de los efectivos de seguridad del Cuadrante 21, luego de que un sujeto accionó un arma de fuego en contra del can, hiriéndolo en una pata y abdomen, por lo que los uniformados decidieron trasladar al animal al centro canino a bordo de la patrulla para que recibiera atención de urgencia.
Sergio Chávez, titular del CACyFE, informó que el animal agredido se trata de un perro de raza criolla, de siete años de edad, aproximadamente.
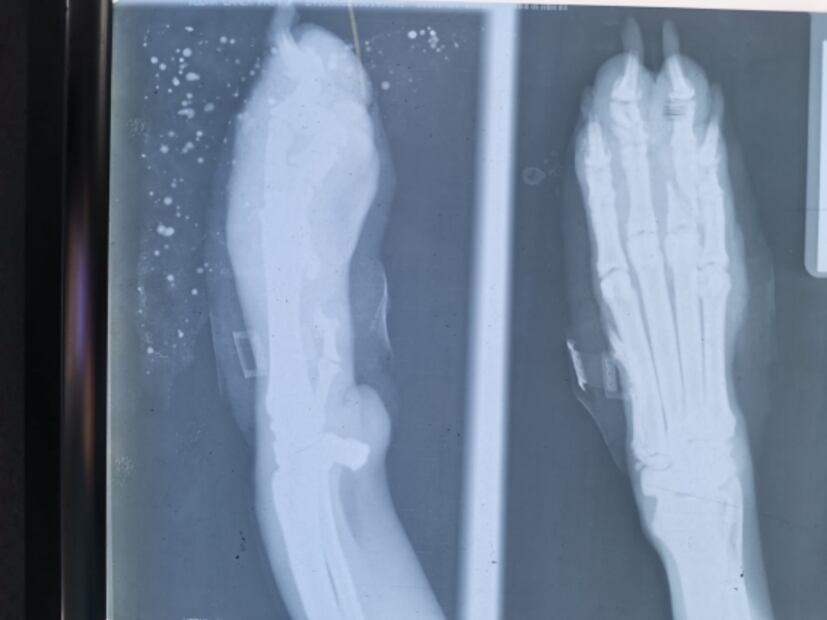
Una de las balas atravesó completamente su extremidad y le fracturó algunos huesos de los dedos, mientras que el otro proyectil se quedó alojado en el vientre, muy cerca de su columna vertebral.
Debido a la gravedad de las heridas, el perro tuvo que ser intervenido de manera inmediata para extraerle la bala.
Lea también: Destacan reforma en favor de los derechos animales
De acuerdo con los médicos veterinarios que lo atendieron, por ahora el animal se encuentra estable y no ha perdido movilidad en ninguna de sus extremidades, pero seguirá en observación y bajo los cuidados del CACyFE.
La propietaria del perro argumentó desconocer el motivo de la agresión en contra de su mascota; el presunto responsable huyó del lugar, pero fue identificado como Oscar “N”, vecino de la comunidad.
Por los hechos, el gobierno de Ecatepec presentó una denuncia en contra de quien resulte responsable por los delitos de portación de arma y maltrato animal.

Otros casos de maltrato animal
La semana pasada, policías municipales rescataron en la colonia Jardines de Morelos a otro perro al que presuntamente le fue detonado un cuete en el hocico, provocándole lesiones graves e inclusive la pérdida del ojo izquierdo.
Por estos hechos, una persona ya fue consignada a las autoridades por el delito de maltrato animal.
Mientras que en otro caso, un empleado del Senado de la República fue detenido y presentado ante el ministerio público por ir jalando a un can atado a un vehículo mientras circulaba por sobre la calle Tulipán de la colonia La Estrella.
rcr
Noticias según tus intereses
[Publicidad]
[Publicidad]









