Más Información

Influencer mexicano visita a mono “Punch” en zoológico de Ichikawa; “siguen sin aceptarlo en la manada”, asegura

Equinoccio de Primavera 2026: ¿cuándo inicia el cambio de estación en México?; conoce la fecha exacta
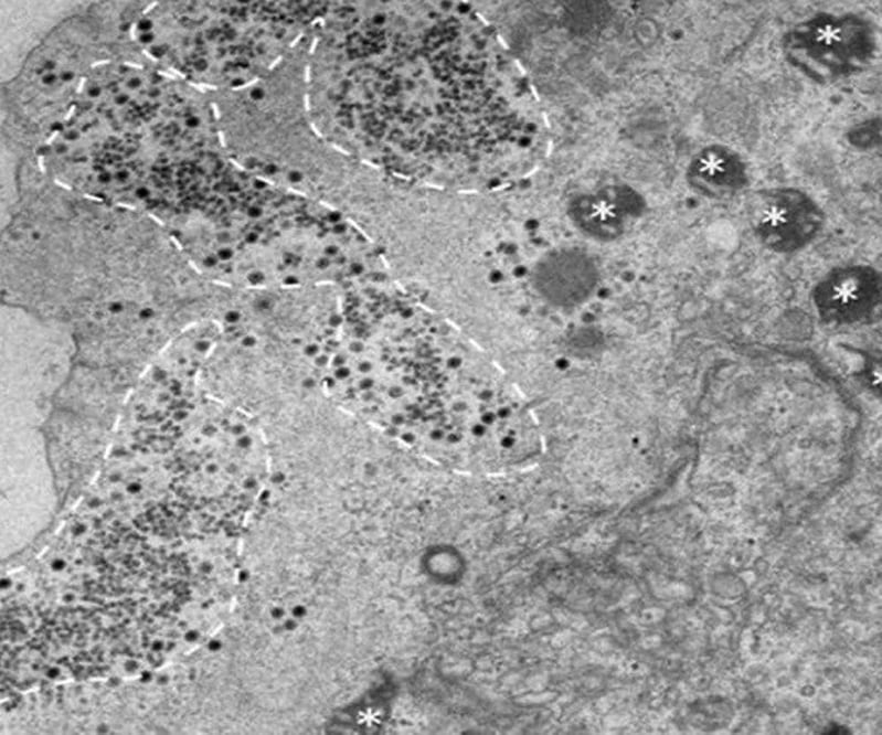
Científicos de Brasil y Francia descubrieron en la ciudad brasileña de Belo Horizonte un nuevo virus de origen amebiano , con el 90% de su genética desconocida, pero que no es nocivo para el ser humano, según explicaron este miércoles fuentes académicas.
Bautizado como Yaravirus , en homenaje a ' Iara ', una sirena de agua dulce del folclor indígena brasileño que con su canto atraía a los hombres para el fondo de los ríos, el virus misterioso fue encontrado en la laguna de Pampulha , en la región central de Belo Horizonte, capital del estado de Minas Gerais (sureste).
El descubrimiento fue publicado esta semana en la revista científica francesa "BioRxiv" por los investigadores Bernard La Scola , de la Universidad Aix-Marseille de Francia , y Jonatas Abrahao , de la Universidad Federal de Minas Gerais ( UFMG ) de Brasil.
También puedes leer: Identifican cómo acabar con la resistencia de los antimicrobianos
Fuentes del Laboratorio de Virus del Instituto de Ciencias Biológicas de la UFMG señalaron que el protozoario "no representa riesgos" para el ser humano porque "no infecta ningún tipo de vertebrados", como el hombre.
Los científicos tan solo identificaron 10 % de sus genes , mientras que el 90% restante todavía están en fase de investigación porque el material genético no corresponde a la información de los bancos existentes de la ciencia.
Asimismo, según los investigadores, el virus es exclusivo de las amebas que están en lagunas, ríos, estanques y hasta en piscinas y en los sistemas de acueducto.
De acuerdo con el estudio, el virus puede ser la primera Acanthamoeba spp, no identificada, del género de los protistas Amoebozoas aislada del grupo de los nucleocitoplasmáticos de ADN grande ( NCLDV , por su sigla en inglés).
También puedes leer: Académicos de ProCienciaMX presentan iniciativa de Ley de General de Ciencia
Con el reciente corte de auxilios del Gobierno federal para las investigaciones científicas, los responsables del descubrimiento buscan ahora el apoyo de otras instituciones públicas, incluso del exterior, y privadas para dar continuidad e identificar el 90 % de los genes desconocidos y buscar así su utilidad para la ciencia.
mlc
Noticias según tus intereses
[Publicidad]
[Publicidad]









