Más Información

Morena CDMX afirma que "existe una unidad bárbara"; alista plan para fortalecer presencia territorial

Advierten crisis democrática si INE pierde autonomía; sin consenso se pondría en duda la legitimidad, exconsejera Dania Ravel

Así fue el operativo contra narcolaboratorios en el que murieron los elementos de la embajada de EU; fiscal destaca magnitud del hallazgo
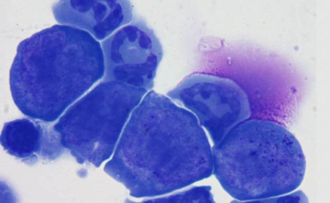
El 98% del material genético humano, hasta hace poco considerado ADN "basura" porque no tiene una función concreta, determina la aparición y la evolución de un cáncer, explicaron científicos reunidos en Barcelona para analizar el papel que juega la epigenética en los cánceres.
El responsable del laboratorio de cáncer del Centro de Regulación Genómica (CRG) de Barcelona, Luciano Di Croce, explicó este viernes en una rueda de prensa que este descubrimiento es "sólo el principio de una revolución" que afectará a los tratamientos personalizados de cáncer.
En un acto convocado por Biocat y la Obra Social "la Caixa", científicos internacionales han corroborado la importancia del que hasta ahora se consideraba "ADN basura".
El llamado ADN "oscuro" o "basura", aunque no codifique proteínas, parece que incide en la regulación de los genes cercanos al controlar o modular la expresión y también absorbe los cambios en el genoma y facilita la evolución, por lo que será más fácil "estratificar pacientes" de cáncer, es decir, saber qué tratamiento necesitan de acuerdo con sus características, según Di Croce.
El investigador recordó que, hasta ahora, se elegía el tratamiento que debía seguir un enfermo de cáncer teniendo en cuenta el 2 % del genoma que se consideraba útil porque codifica proteínas, y eso "ha llevado a muchos fracasos".
En cambio, aseguró que si se considera el 98% restante, la estratificación de pacientes puede ser "mucho más exacta" y el tratamiento más eficaz, y por lo tanto incidir en menos costes para el sistema sanitario.
Sobre todo, se podrá "reducir el impacto psicológico" y los "efectos colaterales" sobre el cuerpo por recibir un tratamiento que no se ajusta exactamente a sus características.
Di Croce afirmó que los médicos están en el comienzo de "trasladar este hallazgo a la práctica" y recordó que se está haciendo un "esfuerzo global" por parte de laboratorios de todo el mundo para avanzar en esta cuestión; "hay que estudiar ese 98%, no se puede ignorar", insistió.
El biólogo, que investiga los mecanismos epigenéticos implicados en la diferenciación de las células madre y en cáncer, dijo que la utilidad del 98% del genoma se ha pasado por alto durante tanto tiempo por culpa de la visión tradicional y "dogmática" de la expresión de los genes.
El investigador consideró fundamental estudiar la epigenética, no sólo para avanzar en el conocimiento del cáncer sino también en otras patologías, desde la esquizofrenia hasta el Síndrome de Rett.
El encuentro de 17 científicos de alto nivel que se celebró en Barcelona fue convocado por B-Debate, Centro Internacional para el Debate Científico, que celebra su tercera edición este año, para debatir sobre los últimos avances en epigenética del cáncer.
kal
Noticias según tus intereses
[Publicidad]
[Publicidad]











