
He learned of his cancer diagnosis just two days before his death.

He learned of his cancer diagnosis just two days before his death.

La nueva terapia radica en "entrenar al sistema inmunológico para reconocer y eliminar a la célula cancerosa que haya quedado"

Además podrían rastrear la metástasis de diferentes tipos de cáncer

Investigadores afirman que los hábitos actuales influyen en el desarrollo de la enfermedad

Las señales de alerta comenzaron cuando repentinamente George desarrolló estrabismo en uno de sus ojos

La sustancia denominada fosfoetanolamina sintética se probará en mil pacientes de cinco hospitales de Sao Paulo

Tomas Lindahl, premio Nobel de Química, habla de los objetivos de sus investigaciones

El objetivo es lograr que se pueda vivir con él, pero sin pensar en él, con una medicación diaria

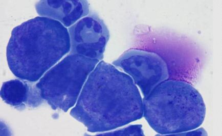
La idea es cultivar las células en enormes cantidades para después introducirlas en el cuerpo del enfermo

Investigador del Instituto de Química de la UNAM diseña moléculas sintéticas complejas