
La carrera del sábado 30 de abril se correrá a beneficio de niños con cáncer

La carrera del sábado 30 de abril se correrá a beneficio de niños con cáncer

Microdispositivo implantado en tumor tendría la capacidad de identificar la mejor opción de tratamiento

Compartió en Facebook una imagen con la actriz, desde el hospital

Trabajadores de salud con más de 16 años realizando esta clase de pruebas de diagnóstico en laboratorios de cateterismo tienen tres veces más probabilidades de desarrollar cáncer

Estudio parte de la premisa de que los pacientes con cáncer casados presentan una tasa de supervivencia superior a la de los solteros

Los contaminantes atmosféricos pueden aumentar 10% la probabilidad de desarrollar cáncer, alertan; no basta el Hoy No Circula para resolver crisis ambiental, dice el jefe de Gobierno, Miguel Ángel Mancera

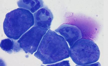
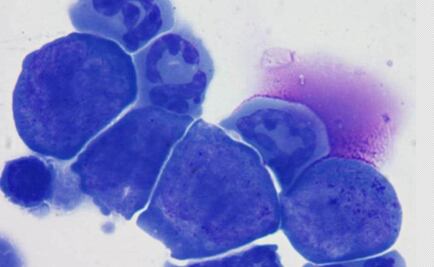
Es un nuevo paso para entender cómo las células del cáncer desarrollan resistencia a los fármacos

Científicos descubren uno de los mecanismos que genera resistencia a la quimioterapia

Descubrimiento podría abrir nuevas opciones terapéuticas para combatirlo

Superficie del dispositivo funciona como un sensor sobre el cual se coloca una muestra de saliva para detectar la presencia de una proteína conocida como Cerb-B2