Más Información
El cáncer, en todos sus tipos, es desencadenado por el crecimiento descontrolado de células. En el caso de cáncer de páncreas, la "adenocarcinoma de páncreas" es la forma más común en que se manifiesta, siendo el carcinoma más letal y difícil de diagnosticar, pues casi el 85% de pacientes se enteran de que lo padecen cuando la enfermedad se encuentra en una etapa avanzada, ya que tampoco produce síntomas sino hasta una faceta crítica.
La agencia de noticias EFE informó que, anualmente, un aproximado de mil personas son diagnosticadas con este tipo de cáncer, a nivel mundial, de las cuales 985 morirán por esta condición que afecta al páncreas, órgano ubicado detrás del estómago.
El páncreas tiene una forma semejante a la de un pez con una cabeza ancha, un cuerpo como de un cono y una cola estrecha y puntiaguda; alcanza una medida de 15 centímetros de largo y 5 centímetros de ancho en personas adultas.
Lee también: Así son los amaneceres en Marte, la NASA comparte primeras imágenes
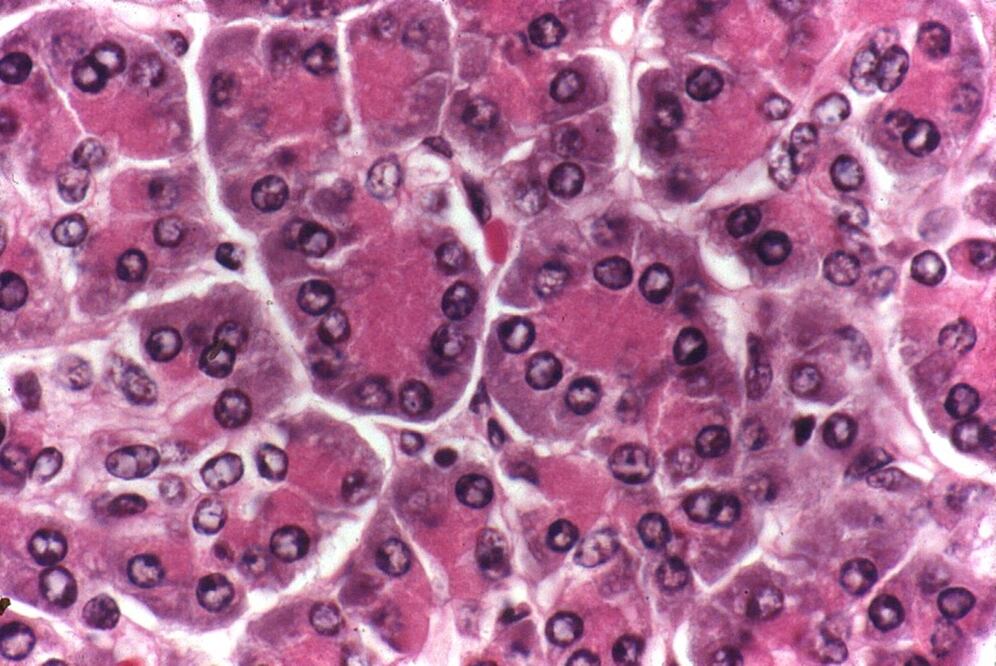
¿Cómo se desencadena el cáncer de páncreas?
El cáncer de páncreas, según la American Cancer Society, como ya mencionamos, tiene lugar en el momento en que las células exocrinas, responsables de formar glándulas y los conductos exocrinos, de este órgano, crecen sin control. Dentro de todas las células que forman parte del páncreas, las exocrinas son las que se encuentran en menor cantidad, pero no por eso son menos importante, ya que se encargan de producir hormonas como la insulina y el glucagón, responsables de controlar los niveles de azúcar en la sangre.
Los tumores cancerígenos del páncreas atacan, principalmente, a las células exocrinas.
¿Qué causa el cáncer de páncreas?
De acuerdo con la American Cance Society, las causas que originan el cáncer de páncreas se desconocen, pero existen factores riesgo que podrían indicar cuando una persona es susceptible a manifestarlo.
El proceso de maduración y evolución de nuestras células está a cargo de un tipo de genes específicos llamados como "oncogenes" o "genes supresores de tumores", encargados de controlar el crecimiento de las células, la división de estas mismas para generar nuevas células y la muerte de parte de ellas.
Este proceso de control, por llamarlo de algún modo, también puede sufrir alteraciones provocadas por una "desconfiguración" del ADN capaz de activar oncogenes o desactivar genes supresores de tumores. Pero, ¿qué produce este descontrol? Se trata de dos tipos de mutaciones: mutaciones genéticas heredadas, de familiares, especialmente de la madre o el padre; y de mutaciones genéricas adquiridas, a través de costumbres, como la exposición a sustancias químicas que causan cáncer, como el tabaco.
Lee también:
Cáncer de páncreas, de compleja detección
La detección temprana del páncreas es muy difícil de obtener, ya que es un órgano que se encuentra en una parte profunda del cuerpo humano, lo que dificulta las probabilidades que la o el doctor ausculten de forma correcta la presencia de un tumor que no puede venir ni sentir durante un examen de rutina. Aunado a esto, la o el paciente no presente ninguna molestia o síntoma, sino hasta que la enfermedad ha alcanzado una fase ctrítica.
Hay otros tipos de cáncer para los que se han creado pruebas de detección temprana, pese a la ausencia de síntomas, debido a su difícil detección. No es el caso del cáncer de páncreas, hasta la fecha, ningún grupo profesional realiza pruebas de detección de rutina en personas que tienen un riesgo promedio de padecerlo.
melc
Noticias según tus intereses
[Publicidad]
[Publicidad]











