Tras una lucha de cuatro años contra el cáncer, la joven influencer sevillana Elena Huelva, falleció el pasado martes. Fue diagnosticada tras un dolor en la pierna en 2019, a la edad de 16 años, pero se extendió hasta los pulmones.
En un video publicado en su cuenta de Twitter @elenahuelva02, dijo que a pesar de que el diagnóstico no parecía ser positivo; ella ya había ganado por todo el apoyo de su familia y seguidores.
La influencer padeció sarcoma de Ewing, un tumor maligno que por lo general se desarrolla en los huesos y en los tejidos blandos que los rodean. Además, suelen aparecer en las extremidades, aunque puede afectar cualquier hueso.
Lee también: Muere Elena Huelva, la española que se visibilizó en redes por su batalla contra el cáncer

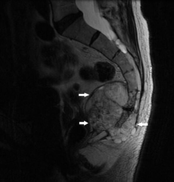
Imagen que muestra un tumor cerca del extremo de la columna vertebral. RM: Michael J. Joyce, MD, y Hakan Ilaslan, MD. Manual de Merck MSD
¿Qué es el sarcoma de Ewing?
De acuerdo con el Manual de Merck de Información Médica General, dicho sarcoma también se relaciona con tumores neuroectodérmicos primitivos periféricos (TNEP) y tiende a ser extensivo, los síntomas más comunes son dolor e hinchazón.
Por otra parte, el tratamiento varía de acuerdo con el diagnóstico pero algunos procedimientos pueden incluir la cirugía que se hace si la lesión es resecable, la radioterapia que es para los pacientes cuyos tumores se resecaron, pero con márgenes inadecuados y la quimioterapia.
Elena contaba en sus redes sociales que le practicaban transfusiones de plaquetas o sangre, analíticas, administración de medicamentos, quimioterapia, entre otros métodos que le causaron cambios físicos.
Es importante mencionar que sus pensamientos positivos y de apoyo quedaron plasmados en un libro que publicó en enero de 2022, tenía como título su principal lema “Mis ganas ganan. Nadie nos ha prometido un mañana, vive el presente”.
Suscríbete aquí para recibir directo en tu correo nuestras newsletters sobre noticias del día, opinión y muchas opciones más.
ayef / sal
Noticias según tus intereses
[Publicidad]
[Publicidad]











