
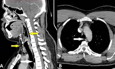
¿Contienes tus estornudos? Piénsalo dos veces: paciente sufre desgarramiento traqueal
Este tipo de daño es una 'afección rara y potencialmente mortal', aseguran médicos

Este tipo de daño es una 'afección rara y potencialmente mortal', aseguran médicos

El hospital Al Shifa de la Ciudad de Gaza se encuentra en medio de la ofensiva terrestre israelí contra el movimiento islamista

Tras el aterrizaje, la mujer fue trasladada al hospital de La Raza en una ambulancia de la Subdirección de Urgencias del Estado de México

Este jueves un hombre perdió la vida en el Hospital Militar Regional de Mérida, con lo que sumó 5 personas

Las Fuerzas de Defensa de Israel publicaron videos, audios e imágenes satelitales que supuestamente atribuirían la responsabilidad a la Yihad Islámica

Ejército de Israel señaló que la explosión se debió a un lanzamiento fallido de cohetes por milicianos del grupo Yihad Islámica Palestina hacia Israel, mientras que las autoridades de Hamas acusan a las fuerzas israelíes del ataque

La semana pasada ocurrió que 3 personas perdieron la vida a las puertas de la Cruz Roja y del Hospital OHorán de Mérida

El mandatario criticó la asociación pública- privada para construir obras que siguen pagándose tras 20 años

La única unidad médica de este municipio, en Guerrero, sufre un gran deterioro, por lo que atienden a los pacientes en el patio, bajo una lona

En mayo ya se había evidenciado la presencia de roedores en la clínica Hospital en Santa Rosalía; enfermera interpone quejas ante el órgano interno de control y la Procuraduría Federal de la Defensa del Trabajo