Más Información

Grecia Quiroz reconoce que recibió amenazas un día antes de asumir su cargo como alcaldesa de Uruapan

"Mejor que paguen sus impuestos en vez de campañas en redes", lanza Sheinbaum tras fallo de la Corte sobre Grupo Salinas

Quién es la familia Hysa; sus presuntos vínculos con cárteles y una red de lavado de dinero en casinos de México
Abelardo Meneses García
, director general del Instituto Nacional de Cancerología (INCan) , hizo un llamado al presidente electo Andrés Manuel López Obrador para que antes de tomar la decisión de desaparecer el Seguro Popular se revisen los programas que han tenido éxito y beneficiado a la sociedad , mientras que en aquellos rubros que no dieron resultados favorables se implementen estrategias para mejorarlos .
"Se han escuchado pronunciamientos en cuanto a la desaparición del Seguro Popular y el llamado es a proteger esos eventos en donde uno ve éxito terapéutico y dejarlo protegido y, si hay que hacer algunas mejoras a este sistema de seguridad social , hacerlo en aquellos rubros donde no se dieron resultados favorables , pero los programas que atendieron a miles de pacientes de manera exitosa conservarlos y favorecerlos ; el llamado es siempre buscar que los ciudadanos se vean beneficiados ."
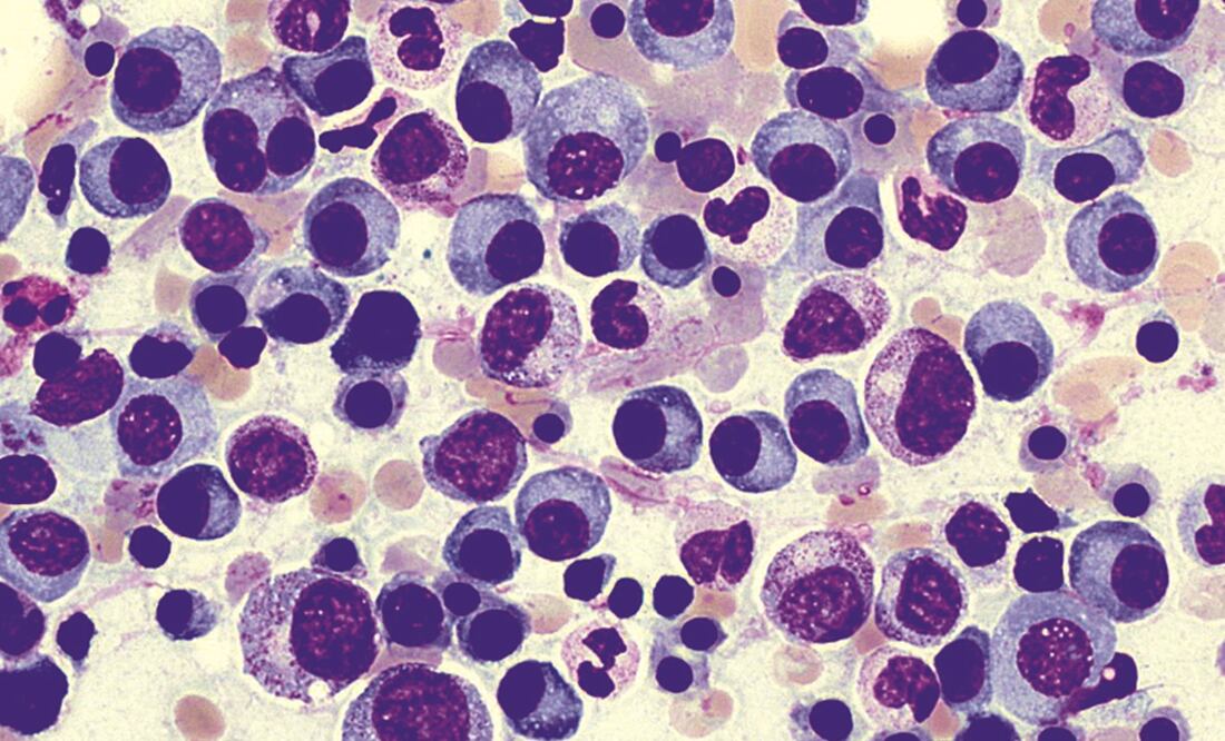
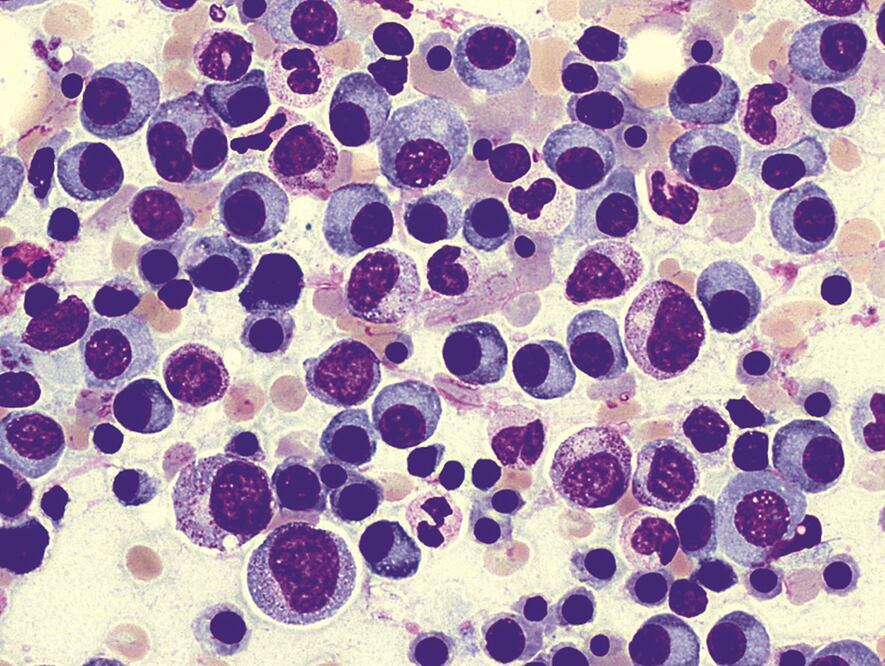
Durante la conmemoración del Día Mundial contra el Mieloma Múltiple , Meneses García adelantó que el Instituto de Cancerología y distintas organizaciones de la sociedad civil buscan que esta enfermedad sea incluida en el programa de Gastos Catastróficos . "Queremos que haya una protección para aquel paciente que vive con mieloma múltiple."
Detalló que en México se estima que existen alrededor de mil 200 casos nuevos de este tipo de cáncer y entre 8 mil o 10 mil pacientes bajo tratamiento en diferentes instituciones.
"Tenemos que sensibilizar a la sociedad ; hemos visto respuestas muy exitosas cuando se dan los esquemas de tratamientos adecuados , por eso vale la pena esforzarnos y luchar por que los recursos se canalicen justamente donde hay mayor éxito ; tratar mieloma con medicamentos nuevos eleva la supervivencia de los enfermos ."
La necesidad de incluir el Mieloma Múltiple dentro de las enfermedades que cubre el Fondo de Gastos Catastróficos tiene que ver con el costo de los tratamientos ; el director del INCan dijo que estos precios dependen de la etapa en que se diagnostica , de la institución de seguridad social y el tratamiento.
"Pero hay esquemas que rebasan los 100 mil pesos mensuales , por eso es importante que se cuente con la cobertura social en medida del éxito que se tiene con la respuesta terapéutica ."
Alejandro Mohar Betancourt
, encargado del Registro Nacional de Cáncer , dijo que ve difícil que antes de que concluya el sexenio se incluya al mieloma múltiple entre las enfermedades que cubre el Fondo de Gastos Catastróficos .
" México es de los países que menos invierte en salud ─anda por el 3% de su PIB ─, los recursos destinados a la Secretaría de Salud han disminuido, entonces si nos dicen que con lo que tenemos será posible incluir este cáncer a fondo, nos están mintiendo ; debe haber más inversión , no es posible que el esquema esté tan fragmentado y sea tan injusto , no pueden llegar los pacientes con nosotros y que paguen por sus medicamentos ."
Noticias según tus intereses
[Publicidad]
[Publicidad]









